1.高逆变频率高压发生器搭载原装进口球管
自产高逆变频率高压发生器(可达440KHz),功率80KW,体积小,射线输出稳定,射线品质好,皮肤剂量低,成像效果好。(一般国产高压发生器主逆变频率均在30KHz以下)
智能化的高压控制系统,并设有多种人体解剖摄影程序(APR),摄影条件依据患者的体型、体位和检查部位自动设定,操作简捷快速。
2. 进口非晶硅大尺寸平板探测器(17*17)
新一代非晶硅碘化铯结构的DR大尺寸平板探测器,转化率高实现低剂量的数字图像采集。
DR平板探测器与数字图像处理器相结合,实现了低噪音、对比丰富的图像,边缘增强滤波装置使图像边缘更加清晰锐利。
3.简单高效的操作体验
悬吊式机头结合多角度自由移动摄影床、电动升降胸片架,轻松实现立/卧位各种数字化摄影及胸片拍摄,大大提升工作效率。
4.高标准数字化处理系统
工作站软件的优势:
1)软件操作体验感好,凡是鼠标点击一次可以完成的操作,不用点击两次,操作便捷;
2)超十万幅临床数据库保证了强大的预处理功能,90%以上的图片无需后处理,即可直接用于诊断;
3)工作流程优化,门诊病人和急诊病人的分界面操作,充分考虑临床的实际运用,急诊模式可以保证病人直接先拍片,后完善信息,为急救赢得了时间;
4)“交响乐”内嵌图像处理曲线,用户可以根据自己观片习惯任意调整曲线,达到自己的观片要求。
5.远程诊断、远程维护
系统远程维护,故障自我诊断并显示故障代码,快速准确判断故障状态,并具有自我保护功能;
无缝对接云PACS系统,信息共享、远程诊断。
采用千兆网与DR探测器连接,图像采集安全快捷;
国际Dicom3.0标准接口,方便联入PACS系统,进行传输、打印;
具备多重自动保护及故障代码提示功能,维修更方便。
软件通过中国医学装备协会IHE系统测试DR设备四项必检项目:SWF/MOD、PIR/MOD 、CPI/MOD、CPI/PC,提供同时包含上述四项的测试通过证书,方便医院网络化建设。
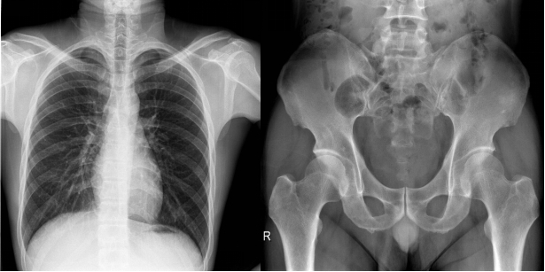
【固定悬吊dr-PLD7800E部分临床效果图】
同类产品
-
- 静态悬吊DR
- 设备型号:PLD7100A
-
- 多功能动态DR机
- 设备型号:PLX8100
-
- 无线平板移动DR机PLX5500
- 设备型号:PLX5500
-
- 动态双立柱DR-PLD7900系列
- 设备型号:PLD7900
-
- 静态双立柱DR-PLD7300系列
- 设备型号:PLD7300
-
- 固定悬吊dr-PLD7800E
- 设备型号:PLD7800E